对乙酰氨基酚是人用感冒药中的常用成分,但因为犬体内对乙酰氨基酚葡萄糖醛酸化和硫酸化代谢途径能力有限,易引起中毒。其有毒代谢产物会对红细胞和肝细胞有严重的氧化作用。临床兽医虽然一再强调该药物用于犬易中毒,但近年来仍常有对乙酰氨基酚中毒的病例出现在临床上。
本文将对临床中遇到的一例Vc银翘片(含对乙酰氨基酚105mg/片)中毒的病例进行分析,希望对临床医生和动物主人有一定的提示作用。
一、 病例资料:
柴犬,4岁,雄(未去势),体重5.6公斤。免疫齐。
主诉:近两天发现犬有清涕,偶有喷嚏,就诊当天早9点给犬喂服8粒Vc银翘片(主人听说过犬不能吃人的西药感冒药),下午1点又喂服8粒,下午4点左右主人发现犬精神不佳,全身无力,约6点到院就诊。
二、临床检查:
精神沉郁,全身无力,口腔粘膜苍白,口腔内有粘液,球结膜苍白,未见明显黄染,体温39.5℃,呼吸52次/分,心率120次/分。触诊未见明显疼痛,膀胱无尿。无明显大小便失禁症状。
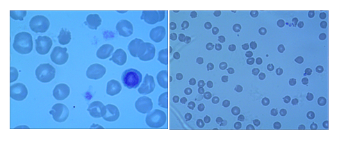
三、 实验室检查:
1、血常规检查:异常项目如下表

红细胞数量下降,红细胞比容下降。下图,血涂片可见海因茨小体和有核红细胞。表明有红细胞氧化损伤和贫血。


四、 诊断:
根据主诉、病史和血液学检查,初步诊断为犬对乙酰氨基酚中毒。
五、 治疗:
治疗原则:尽早催吐、使用特效解毒剂、抗氧化、促进排出、辅助治疗
1、吸氧,缓解动物缺氧状态
2、 输液:
2.1抗氧化:5%葡萄糖30ml+维生素C 168mg 静脉滴注,40ml/h;后168mg每6小时一次皮下注射。本应使用乙酰半胱氨酸,首次用药140mg/kg,5%葡萄糖静脉滴注后70mg/kg口服,每天四次,但当时未备该药品。
2.2促进排出:碳酸氢钠 27mg 口服,每天3次。
2.3保肝:0.9%NaCl 50ml+肝泰乐100mg 静脉滴注,40ml/h;
在输液2小时后动物呼吸急促,死亡。
六、 讨论:
1、对乙酰氨基酚在肠道吸收迅速(1小时之内),肝脏内通过以下途径代谢(共3种途径):
葡萄糖醛酸化 非毒性结合产物
硫酸盐化 胆汁和尿液代谢
细胞色素P450介导→N-乙酰苯醌亚胺+谷胱甘肽→半胱氨酸+硫醇尿酸结合物
2、对乙酰氨基酚葡萄糖醛酸化和硫酸化代谢途径能力有限,药物剂量增加时细胞色素P450途径代谢量增加,代谢产物N-乙酰苯醌亚胺增加。
高浓度对乙酰氨基酚可抑制谷胱甘肽的合成,导致结合性N-乙酰苯醌亚胺浓度升高。
对乙酰氨基酚在犬的中毒剂量200mg/kg。Vc银翘片含对乙酰氨基酚105mg/片 。
3、犬对乙酰氨基酚中毒表现包括:呕吐、食欲减退、心动过速和呼吸急促常见,可能出现腹部疼痛和黄疸;高铁血红蛋白血症出现时,发绀、血红蛋白尿和血尿可能出现;常见面部和脚趾水肿。
中毒后犬一般表现急性的肝损伤和溶血贫血症状。高剂量时有明显高铁血红蛋白血症临床应及早发现,及时催吐,进行相应治疗,有条件的医院应检测动物血液酸碱情况进行调整,贫血严重的可输血。
很多犬在治疗过程中死亡。
该病例中动物主人忽略了中西药复合制剂Vc银翘片中含有的对乙酰氨基酚,致使动物出现中毒死亡,动物主人和医生应引以为戒。

