1.概念
兔便秘是指肠运动机能及分泌机能紊乱,粪便停滞于肠管内,水分被吸收、变干、变硬,致使排粪困难,引起肠管阻塞的腹痛性疾病。
2.基本资料
本院近日接诊一例宠物兔因积食引起便秘的病例。现将该病例报告如下:
宠物兔 性别:雄性 体重:0.95kg 年龄:约2岁
主诉:该宠物兔近两天不吃东西及不喝水,精神沉郁萎靡。无法站立,排少量便,粪便不成形,稀,有少许尿。前几天刚给它换过兔粮,该兔粮宠物兔不太爱吃换过的兔粮。把换过的兔粮放在其食盆内,主人见没兔粮就加。因上班忙,也未见其他异常。
临床检查:触摸腹部,紧张,肠道内容物较多,且坚硬。听诊肠音较弱。
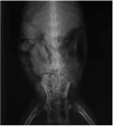
体温:36.7℃、呼吸:70次/min、心跳:150次/minX光片检查:

图一:侧位片(可见肠道内积大量粪便及气体,胃内有大量食糜)

图二:正位片(肠道内有大量粪便及胃内有大量食糜及气体)
诊断结果:肠道便秘。
治疗:因该病例是晚上接诊,针对其机体情况(因其体质较弱),因其体温较低且脱水严重,先对其进行保温并进行输液治疗(两天未进食及水),以纠正其机体内酸碱平衡。等机体好转后对
其进行灌肠处理。
当日治疗如下:科特壮 0.2 mL sc

次日上午治疗:精神略好转,但是仍沉郁。仍然按上述处方进行治疗。
次日下午治疗:液体石蜡油5 mL +水5 mL灌服,配合使用肥皂水15 mL直肠灌注,速度不要太快,灌完后将宠物兔屁股抬起大约2分钟后,放下。以后每天灌服液体石蜡油及灌肠一次。
经过五天治疗,该宠物兔精神好转,食欲逐渐恢复,且能够顺利排便。告知主人回家可饲喂柔软的青菜叶或嫩绿草,少食多餐。
3.讨论:
3.1 兔子的肠道便秘一般由饲养管理不当,精粗粮食搭配不合理,饮水不足,食量过多而运动不足,误食兔毛等原因造成。本病中的宠物兔的肠道便秘是由于因为该兔不 爱吃这种兔粮,但因饥饿等原因而造成该宠物兔摄取大量的该兔粮,造成肠运动机能及分泌机能紊乱,粪便停滞于肠管内,引起肠管堵塞。建议主人在更换粮食的时 候慢慢换或者尽量不换,因为兔子有挑食的毛病。
3.2 关于本病例的治疗,由于该病例到医院时,体温已经非常低于正常值(38.5℃~39.3℃)。并且机体脱水非常严重,四肢无力。需要先进行保温补液后对其进行其他治疗。以纠正其机体内酸碱平衡,增强其新陈代谢。
3.3 给宠物兔灌药要耐心、细致。可选用一根长的软塑料细管,连接在注射器上,抽入药液。固定兔体,以嘴高臀部低的姿势,将细管从嘴角插入口腔,一滴一滴地喂 服。配合使用肥皂水直肠灌注,每天一次,抬高臀部的姿势将肥皂水慢慢推入,速度不要太快,防止造成宠物兔的肠管破裂。对于宠物兔便秘的病例,如果灌肠后仍 然无法正常排便,则根据情况需进行手术治疗。
本文由合肥金脑人- 宠物医疗设备(www.hfsava.com)编辑整理,转载请注明出处。

