累-卡-佩氏病,又称缺血性股骨头坏死,是股骨头骨骺缺血性坏死为特征的一种综合征。大多发生于3—13月龄,5—8月龄发病率最高,小型犬多发。病因尚 不明,可能因损伤和炎症,关节液增多,使关节内压力增高,影响股骨血液供应。骨骺血管脂肪栓塞、毒血症、激素、代谢和遗传等因素均可发生本病。患病动物临 床表现为后肢跛行,呈逐渐加重趋势,严重时呈三脚跳,触诊髋关节时疼痛明显,能听到明显的骨摩擦音,并且患肢肌肉萎缩严重,关节活动范围明显减少。主要影 响小型犬的幼犬,最长见于博美犬、贵妇犬、约克夏犬等,无性别之差异。单侧、双侧均可发生,常见多为单侧性。最近我院在临床中遇到一例犬累-卡-佩氏病的 病例,现把该病例整理如下:
一、病例介绍
一只1岁龄红棕色的小型贵妇公犬,体重为:3.45kg,该犬由于跛行及触碰疼痛,有时会呈三角跳行走。主人曾带该犬到其它诊所就诊,该犬被诊断为髌骨脱位,主人欲将其带到我院进行手术治疗。
二、临床检查
体温:38.2度,心率:120次/分,呼吸:28次/分,口腔黏膜再充盈时间正常,患肢不敢负重运动且肌肉萎缩明显,触诊髋关节时疼痛明显,能听到明显的骨摩擦音。
三、实验室检查
血液检查:血常规结果显示白细胞、叶状中性粒细胞、淋巴细胞轻度增高,犬瘟病毒、细小病毒抗体水平良好,血液生化检查未见异常。
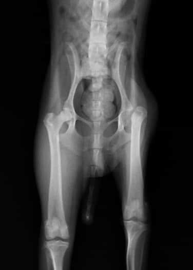
四、X线诊断

从图一可以看出该犬髌骨并没有异常,图二显示该犬股骨头有明显病变,股骨头完整性缺失,轮廓不清晰(箭头),患肢肌肉严重萎缩,患肢同侧髋臼密度增高。综合以上检查可以确诊该犬患有累-卡-佩氏病,即缺血性股骨头坏死,决定进行手术治疗。
五、手术治疗
使用丙泊芬6mg/kg进行诱导麻醉,诱导麻醉后气管内插管,采用异氟烷全身吸入麻醉,当麻醉达到一定深度后,病犬侧卧保定,手术部位剃毛、消毒,准备手 术。同时建立静脉通道。经前外侧手术径路到达髋关节,使髋关节脱位。如果圆韧带完好,将其切开。转动患肢至膝线与手术台平行的位置,进行骨切开。在股骨颈 和股骨干骺端连接处确定骨切除线。股骨颈切掉后要触诊股骨颈的断面看切的是否整齐。用骨锉磨去毛边后,缝合关节囊。闭合创口,股二头肌和臀深肌、阔筋膜张 肌、皮下组织和皮肤。
六、手术后检查

1、实验室检查
血常规检查、血液生化检查、血液血气检查均无异常。
2、X线检查
从图中可清晰看见病变股骨头已经被完全切除,切除后的股股头断端光滑、整齐,生长良好。

3、组织学结果
镜下所见:骨髓腔大量造血细胞,大量软骨细胞和成骨细胞聚集,骨骺不同区域出现钙化灶,血细胞少,骨骼肌部分萎缩,并有少量坏死,周围出现毛细血管增生和炎性细胞,并有含铁血黄素生成。大量胶原纤维细胞伴随其中。诊断结果缺血性骨坏死。
七、手术后的治疗与护理
前3—5天禁止运动,术后三天输液治疗,每天消炎、止疼、抗感染,随后一周打针治疗。术后10天开始按摩恢复及运动恢复,每天按摩患肢肌肉两次,外遛运动10-30分钟,以保证足够的运动量,20天出院前患肢的肌肉萎缩的情况有了明显改善,患肢能够负重行走。
八、分析与讨论
从流行病学的角度,本病例属于易发品种和易发年龄;从本病例的诊断过程来看,在检查时应细心检查,与其他疾病进行鉴别诊断,由于本病同髌骨脱位症状类似,很 难区分,在转诊前的医院就发生误诊,所以诊断应全面、详细,才能最终确诊;本病例的临床症状符合累-卡-佩氏病的典型症状;就诊断时,血常规结果显示白细 胞、叶状中性粒细胞、淋巴细胞轻度增高同该犬疼痛和应激有关;该犬患肢肌肉萎缩严重,虽然手术治疗治愈率高,但术后护理及后期的恢复治疗也是相当重。本病 例手术后进行切除骨的组织学检查会进一步确诊本病,排除感染性关节炎、骨肿瘤等其他疾病。
本文由合肥金脑人-宠物医疗设备(www.hfsava.com)编辑整理。

