摘要:随着小动物临床的发展,X光拍片、B超诊断技术在临床 的应用越来越普遍。X光拍片、B超诊断技术都是利用一定设备得到图像进行疾病诊断,同属于影像学诊断的范畴。与B超诊断相比,X光拍片所得到的图像能够比 较容易的看到所需要诊断组织、器官的整体轮廓、形态、质地的变化以及与其它组织、器官的之间的相互位置的变化。但是X光拍片所得到的图像不能够看到组织、 器官内部的变化,而且不是实时图像,B超诊断得到的却是动物肌体组织、器官的截面实时运动的图像,可以及时的看到组织、器官内部的变化。所以X光拍片、B 超诊断技术对于疾病的诊断存在很强的互补性。
关键词:X光检查 B超检查 小动物疾病 联合应用
作者把几例在临床中碰到的借助于X光拍片、B超诊断技术联合应用提高诊断效果的实际病例整理出来,以期和同行交流。
病例一 犬肾肿瘤的诊断
一般情况:
6岁马尔基斯串公犬,体重为7kg(原8.5kg)
主 诉:
该犬发病三个月,慢性呕吐,消瘦。
临床检查:
腹部触诊该犬时,除左侧腹部敏感外无其它异常。
实验室检查:
血常规,生化检查无明显异常。
X光片检查:

图1、腹背正位平片
图1可以看到,在胃的后侧有一密度均匀的巨大灰色软组织阴影的影像占位,前方与其它组织器官无明显界限,左方紧贴腹壁且界限不清,后方越过第四腰椎,右方侵袭到腰椎右侧,将原有的肠管压迫到腹后侧。

图2、侧位平片
图2看到,在L1-L5的下方有一密度均匀的巨大灰色软组织阴影的影像,该影像前方和上方边界不清,后方与下方界限较清楚,从外型和位置来看此影像极有可能是肾脏。
为了确定腹腔肿块的准确位置以及和其它腹腔器官的关系,决定给该犬进行胃肠道造影:

图3、造影后1.5小时正位片

图4、造影后1.5小时侧位片
图3、4可以看到,由于左侧腹腔肿块占位,将胃向前挤压,同时也把大部分肠管压迫到盆腔内,从正位片可以看到肿块占领整个腹腔左侧且越过脊椎侵袭到右侧。X光检查表明腹腔左侧有体积较大的肿块,根据肿块的位置和形态初步判断为肾肿大。
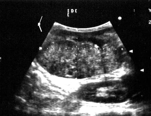
腹腔B超检查:
为了进一步确定腹腔肿块的性质、位置以及和其它腹腔器官的关系,决定给该犬进行腹腔B超检查:

图5、左侧肋弓后方纵向扫查声像图显示左肾(大箭头)与右肾(小箭头)相比,左肾明显增大,左肾被膜光滑,内部的正常结构消失,呈高低相间的混响回声。

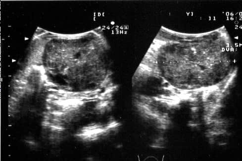
图6左侧肋弓后方纵向扫查声像图显示左肾被膜完整光滑,内部的正常结构消失,呈高低相间的混响回声。
通过X光拍片和B超联合检查可以诊断该犬患有肾脏肿瘤。

图7、患肾的大体解剖

图8、患肾的横截面
病例小结:
本病例通过X光拍片技术所得到的图像确定了在该犬的左侧肾区发生了占位性病变,但发病的器官以及疾病性质还不好定论,只有通过对发病部位进行仔细扫查后所得 到的图像进行判读后才可以诊断该犬患有肾脏肿瘤。经过手术从腹腔中取出病变的肾脏,图7可以看到患肾明显增大,外形发生变化。图8可以看到患肾的内部正常 结构消失。组织学诊断为肾细胞癌。手术后的诊断应证了手术前X光拍片、B超诊断技术联合应用对该病例诊断的正确性。

