2014-04-10 21:07:36
犬猫脑积水
姚海峰 兽医外科博士
摘要:脑积水是神经外科门诊常见案例,犬猫均可发生。以往采用X线片、B超等影像学检查手段无法确诊。笔者使用磁共振诊断设备在1月内确诊4例脑积水案例,其临床表现有:部分动物无症状,有些动物有意识障碍,有些动物感觉和运动机能异常, 有些出现癫痫症状,有些案例合并出现脊髓空洞症时还可表现为颈部疼痛和四肢神经功能下降、跛行等症状。
脑脊液是一种无色透明的液体,充满脑室和蛛网膜下隙。其产生于各脑室脉络丛。脑脊液的循环途径为左、右侧脑室脉络丛产生的脑脊液—经室间孔→第三脑室;与第三脑室脉络丛产生的脑脊液一起—经中脑水管→第四脑室;再汇入第四脑室脉络丛产生的脑脊液—经第四脑室的正中孔、外侧孔→蛛网膜下隙→蛛网膜粒→上矢状窦→窦汇→左右横窦→左右乙状窦→颈内静脉。脑脊液的作用主要有保护脑和脊髓免受外界振荡损伤,调节颅内压,参与脑和脊髓的代谢,维持正常pH 。当脑脊液排除受阻或吸收障碍致使颅内压升高、脑室扩张时则引起脑积水,犬猫均可发病。其临床表现有:部分动物无症状,有些动物有意识障碍, 有些出现癫痫症状,有些案例合并出现脊髓空洞症时还可表现为颈部疼痛和四肢神经功能下降、跛行等症状。脑积水可分为交通性和梗塞性脑积水两类, 交通性是指脑脊液在脑膜的吸收受阻而言; 梗塞性是指脑室系统内的脑脊液循环阻塞。后者为造成脑积水的主要原因。另外, 脑积水根据病因也可以分为先天性和后天性两种,另外有些脑积水高发品种,如吉娃娃、博美犬、玩具贵宾犬等等。
笔者应用磁共振设备确诊多例脑积水案例,其临床表现各不相同,为临床治疗提供了有力依据。现报道如下。
一、病例资料
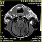
案例1
7岁鹿犬,公,4kg,头颈向左侧弯曲不能伸直,走路时向左侧不停转圈,病程约1年。左侧面神经麻痹,双侧眼睑反射微弱,下颌紧闭,下颌关节不能随意张开,双侧咬肌萎缩。舌头不能伸出口腔。经常流涎,未见到癫痫症状。经磁共振检查发现左侧脑室呈现不规则性扩张,确诊为单侧脑室积水合并部分脑组织损伤。

图1.脑部T1横断面左侧脑室积水扩张

图2.脑部T2横断面左侧脑室积水扩张

图3.T1脑部矢状位左侧大脑空洞

图4.T2脑部矢状位左侧大脑积水
案例二
从12年11月底开始出现哆嗦、震颤、疼痛、脖子有梗的感觉。后肢有力。前肢哆嗦。发病时不让碰前肢和脖子。
打过多次封闭针,主要使用类固醇类及非类固醇类抗炎药物,第一次封闭后症状缓解,约10天后复发,再次使用针剂后无症状的时间间隔缩短。至就诊时注射止痛药物基本无效。临床表现为前肢和后肢上行神经元损伤,四肢强直,缩脖,触诊颈部疼痛。前肢本体反射弱,四肢站不稳。经MRI检查确定双侧脑室脑积水,脊髓空洞症。

图5.脑部T1横断面双侧脑室积水扩张

图6.脑部T2横断面双侧脑室积水扩张
案例三
1岁美国短毛猫,体重1.8kg,公猫。近半年出现运动不协调,走路打晃容易摔倒,症状逐渐加重至完全不能站立走路。至就诊前2天,癫痫症状越发严重,连续发作抽搐48小时。就诊时可见严重消瘦,重度脱水。完全躺卧不能站立,平衡失调,本体反射缺失。经MRI诊断确诊为严重脑积水和脑水肿。

图7.脑部T2横断面双侧脑室积水扩张

图8.脑部T1横断面双侧脑室积水

图9.T2脑部矢状位脑积水

图10.T1脑部矢状位脑积水
案例四
8岁博美,雄性。2013年年底因右侧前肢持续性跛行及不明原因疼痛以及运动能力逐渐下降前来就诊。常规检查发现触诊颈部脊椎疼痛,后经脊髓造影确诊为颈椎2/3,3/4,4/5,5/6处椎间盘突出压迫颈部脊髓神经,其中以颈椎2/3,3/4处椎间盘突出较为严重。试行颈椎腹侧开槽术做脊髓减压,术后前肢跛行和疼痛的情况明显好转,运动能力明显增强。但是仍有轻微的疼痛和前肢跛行。术后2周,做MRI检查脊髓神经断层扫描,发现该犬患有严重的脑积水和脊髓中央管扩张。据此确诊了该犬为何术后仍存在部分神经功能障碍的原因。

图13.脑部T2横断面双侧脑室积水扩张

图14.脑部T1横断面双侧脑室积水

图15.T2脑部矢状位脑积水

图16.T1脑部矢状位脑积水
二、小结
脑积水的治疗分为非手术治疗和手术治疗。一般轻度脑积水应先试用非手术治疗,以脱水疗法和全身支持疗法为主,使用的药物主要有甘露醇、糖皮质激素等等。手术治疗适用于脑室内压力较高或经非手术治疗失败的病例。严重脑积水、大脑皮质严重萎缩,已合并有严重功能障碍及畸形者,手术疗效不佳。手术方式多采用脑脊液分流术。如脑室—心房分流术,脑室—矢状窦分流术,脑室—腹腔分流术等。目前用于小动物临床的手术方法主要是脑室-腹腔分流术(V-P shunt)。术式安全,并发症少,使用较多。所用分流管是一种带有贮液囊、压力阀装置,将导管的一头埋入脑室内,另外一头通过皮下隧道埋入腹腔,当脑压增高时,过多的脑脊液通过管路进入腹腔内,达到降低脑压的作用。
三、展望
磁共振成像(MRI)检查的意义远远不只局限于做脑部检查。它是近年来一种新型的高科技影像学检查方法,是80年代起应用于人医临床的医学影像诊断新技术。它具有无电离辐射性(放射线)损害;无骨性伪影;能多方向(横断、冠状、矢状切面等)和多参数成像;高度的软组织分辨能力;无需使用对比剂即可显示血管结构等独特的优点。总而言之,磁共振成像(MRI)几乎可以用于动物身体任何部位的断层扫描。在磁共振应用于动物诊疗临床以前,动物脑部的疾病诊断和治疗几乎处于空白阶段。众所周知,疾病治疗的前提是诊断明确。正因为如此,磁共振诊断中心的成立,将为我们打开动物头颅提供了一把“钥匙”,正因为有了这把钥匙,行业诊疗技术和水平将上更高一个台阶,因此不得不说这对于宠物诊疗行业来说是具有划时代意义。
写于2014年2月

